Reparti
IMPLANTOLOGIA  |  ORTODONZIA  |  ESTETICA DEL VISO E DEL SORRISO

Implantologia dentale

Implantologia dentale - Disciplina dell’Odontoiatria che consente di reintegrare elementi dentali in pazienti che soffrono di edentulia attraverso l’innesto di protesi fisse.


Cos’è l'Implantologia Dentale?

L’Implantologia Dentale è la disciplina dell’Odontoiatria che consente di reintegrare elementi dentali in pazienti che soffrono di edentulia parziale o totale attraverso l’innesto di un impianto protesico.

Rimpiazzare uno o più denti persi è importante, non solo in termini estetici, ma specialmente per una prospettiva funzionale.
La ricerca scientifica ha dimostrato che l’edentulia influisce negativamente sulla funzioni masticatorie, fonatorie e respiratorie, peggiorando la qualità della vita e complicando le attività quotidiane come il mangiare e il parlare.
 

Com’è fatto un Impianto Dentale?

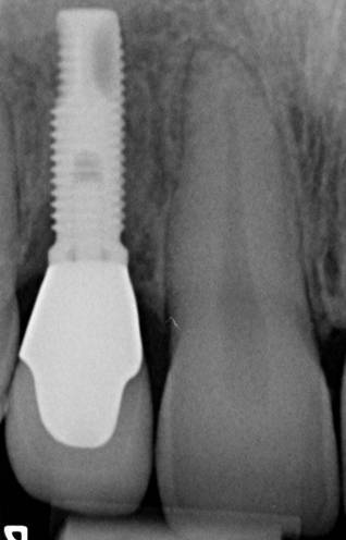
Gli impianti dentali sono protesi fisse composte da due elementi:

Vite Endossea - Vite in titanio che il dentista inserisce nell’osso alveolare dove era presente il dente da sostituire. Questa svolge la funzione di radice su cui sarà applicata la protesi dentale;

Protesi Dentale - Elemento in ceramica che il dentista ancora alla vite endossea. La protesi dentale ha lo stesso aspetto del dente e lo sostituisce nella sua totalità, conferendo al paziente un nuovo sorriso.
 

La Terapia Implantare presso lo Studio Odontoiatrico Di Gioia 

Presso lo Studio Di Gioia le terapie di implantologia dentale sono eseguite dal Dottor Claudio Di Gioia, medico odontoiatra da oltre 25 anni, con esperienza da docente universitario e perfezionato in Implantologia e Parodontologia.

Come tutte le terapie del nostro Studio, la terapia implantare è eseguita rispettando i protocolli medici più avanzati. Per questo motivo la terapia implantare si svolge con il supporto di strumenti digitali, che permettono un’accurata valutazione diagnostica e una perfetta progettazione dell’intervento.

L’intervento è eseguito in anestesia locale, lavorando su una porzione ridotta del tessuto mucogengivale, posizionando la struttura implantare sulla porzione di osso corrispondente alla zona edentula.
In questo modo viene fissata la vite in titanio su cui sarà successivamente posizionata la corona protesica.

E’ importante sottolineare che in alcuni casi è possibile stabilizzare la protesi il giorno stesso del posizionamento degli impianti osteointegrati.

 

 SCOPRI i “Risultati Clinici” 

 Non vergognarti del tuo sorriso, PRENOTA LA VISITA